Painless Scaling IN KOTA DAMANSARA

Have you ever heard of scaling gigi? It’s a dental procedure that cleans your teeth from tartar and plaque. At Denta Levant, we have a special technique that makes scaling gigi gentle and painless. You won’t feel any discomfort while we remove the dirt from your teeth. You can sit back and relax in our cosy clinic, where we care about your comfort and happiness.

Our Painless Scaling Service at Denta Levant

Welcome to Dental Levant, the best place in Kota Damansara to enjoy painless scaling services. Dental scaling can be easy, comfortable, and gentle. That’s what we offer at Dental Levant, with our painless scaling procedure that uses the most advanced techniques and equipment. You can enjoy a smooth and effective teeth cleaning, without any discomfort or stress. We make sure you are comfortable and happy throughout the process. Come to Dental Levant and see how gentle scaling can transform your dental experience.

What is Painless Scaling?

Painless scaling is an advanced dental procedure that cleans your teeth and gums from plaque and tartar without any pain. Plaque and tartar are harmful deposits that can cause gum disease and tooth decay if you don’t remove them regularly. With painless scaling, you can enjoy a gentle and easy dental cleaning, making dental hygiene a breeze.

The Importance of Dental Hygiene

Dental cleaning or in Malay terms called cuci gigi is vital for your oral health, as it clears away the plaque and tartar that can cause tooth decay and gum disease. It also allows early detection and treatment of any dental issues, which can benefit your overall well-being.

PAINLESS SCALING VS CONVENTIONAL SCALING IN KOTA DAMANSARA

PAIN

Painless Scaling

Enjoy a comfortable and virtually painless teeth cleaning with our advanced technology and options.

Conventional Scaling

May experience discomfort and sensitivity during and after the teeth cleaning process.

Effectiveness

Painless Scaling

Gentle and effective teeth cleaning with ultrasonic and hand tools. Prevent gum disease and tooth decay.

Conventional Scaling

Relies on manual scraping to clean your teeth and gums. This may not reach all the areas where plaque and tartar accumulate.

Sensitivity Level

Painless Scaling

Tailored to reduce discomfort after the treatment.

Conventional Scaling

May cause increased sensitivity, less flexibility to suit your preferences.

Noise

Painless Scaling

Runs smoothly with hardly any sound, using high-frequency vibrations.

Conventional Scaling

Creates noise from hand-held scrapers, possibly making you nervous.

Frequently Ask Questions About Painless Scaling

What is painless scaling?

Painless scaling is a dental procedure at Denta Levant that cleans teeth and gums without pain, using advanced tools to remove plaque and tartar gently.

Why is dental hygiene important?

Good dental hygiene prevents tooth decay and gum disease. Denta Levant helps maintain oral health with effective, comfortable cleanings.

Will I feel discomfort after painless scaling?

No, Denta Levant’s painless scaling is designed to minimise discomfort and sensitivity, ensuring a smooth and comfortable experience.

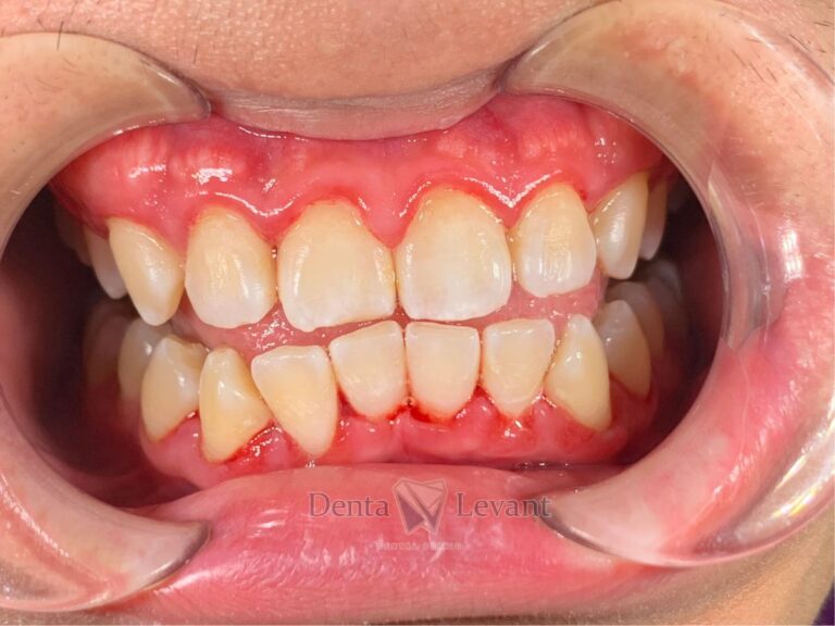
Painless Scaling Before & After

Sometimes, seeing is believing. Take a look at how we transformed this patient’s smile.
Scaling 21 Scaling 22
Before
After

REAL PEOPLE, REAL RESULTS

Our favorite part of what we do is seeing our patients feel refresh when they see their new smiles. Whether you are preparing for your big day or just want a little tune-up, we are here to help you feel and look your best. Watch one of our happy patients, Katherine, get the smile makeover of her dreams just in time for her wedding day!

CONVENIENT PAYMENT OPTIONS

Discover convenient payment options at Dental Levant, ensuring a seamless dental experience. We collaborate with esteemed insurance providers such as AIA, PMCARE, MEDNEFITS, and more. Explore flexible financing through installment plans offered by ATOME and CURAGURU. As part of our commitment to accessibility, we provide a 0% installment plan for Maybank and Public Bank credit card holders. At Dental Levant, your oral health journey is complemented by transparent and hassle-free payment solutions, making quality dental care easily accessible.

HOW ELSE CAN WE HELP YOU SMILE?

We pride ourselves in our team’s dedication to cosmetic dentistry, but we provide a myriad of other services as well. Curious about a specific treatment? Learn more below.

DENTAL INSIGHTS​

The world of dentistry is constantly evolving which is why we share insightful and interesting content on our blog every week. Want to know if that latest TikTok trend is actually good for your oral health? Curious about which toothbrush is right for your teeth? Stay updated with the latest in dentistry and get answers to your oral health questions, all from your trusted dentist in Kota Damansara.

Scroll to Top